Mobile Navigation
Gum Disease

Gum Disease


Call Us:
Naples:
(239) 254-0308
Bonita Springs:
(239) 948-6725

About Periodontal Disease

Periodontal disease is an infection of the gums, which gradually leads to the destruction of the support of your natural teeth. This disease affects more than 80% of Americans by the age of 45.

Dental plaque is the primary cause of gum disease. Bacteria found in plaque produce enzymes and toxins which injure the gums. Injured gums turn red, swell and bleed easily.

If this injury is prolonged, the gums separate from the teeth, causing pockets (spaces) to form.

Plaque can also harden into a rough, porous substance known as calculus (tartar).

This can occur both above and below the gum line. As periodontal disease progresses, the supporting gum tissue and bone that holds the teeth in place deteriorate.

If left untreated, this leads to tooth loss. Pain is usually not present until damage from this disease is very advanced.

Woman getting her teeth checked

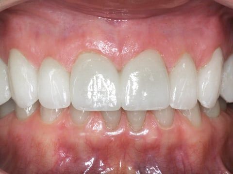
Healthy Gums

Healthy gums are generally pink and anchor the teeth firmly in place. Healthy gums do not bleed or hurt during normal brushing and flossing.

Early forms of gum disease can easily be treated and reversed with daily brushing and flossing and dental checkups every 6 months. Paradise Coast Periodontics can get you on your way to healthy gums. All you need to do is call our Naples office at (239) 254-0308 or our Bonita Springs office at (239) 948-6725 or request an appointment online and come in for a visit. Your gums will be glad you did!

Healthy Gums

Stages Of Gum Disease

Gingivitis

Gingivitis is an early stage of gum disease. Gingivitis develops as toxins, enzymes and other plaque byproducts by irritating the gums, making them tender, swollen and likely to bleed easily. Gingivitis generally can be stopped with proper oral hygiene and minor treatment from your dentist. If this is achieved, your gums can return to a healthy state.

Periodontitis

Moderate gum disease is when the tooth's bone tissue starts to deteriorate. Periodontitis occurs when plaque byproducts destroy the tissues that anchor your teeth in the bone. The gums deteriorate and begin detaching themselves from the teeth forming gum pockets, which allows more plaque to collect below the gum line. This causes the roots of the teeth to become susceptible to decay. Generally, patients notice an increase in sensitivity to hot and cold and to touch.

Advanced Periodontitis

Advanced periodontitis occurs when a major amount of gum and bone tissue has been lost and the teeth are losing more and more support due to the loss of periodontal ligament and bone. Some teeth are unable to be saved and must be extracted. If left untreated, advanced periodontitis can cause severe health problems elsewhere in the body.